Potwierdź status profesjonalisty

Zgodnie z obowiązującymi przepisami prawa, niniejsza strona i prezentowane na niej treści są przeznaczone wyłącznie dla profesjonalistów w dziedzinie wyrobów medycznych (tj. w szczególności osób wykonujących zawód medyczny lub prowadzących obrót wyrobami medycznymi oraz ich pracowników/współpracowników) gdyż zawierają komunikaty reklamowe wyrobów przeznaczonych do używania przez użytkowników innych niż laicy.

W celu przejścia na stronę potwierdź swój status:
Zapisz się
szkolenia

Protetyka na implantach - od odsłonięcia implantu do korony

Data szkolenia
19-20.06.2026
2 dni, piątek-sobota
Lokalizacja szkolenia
Rzeszów
Cena
4990 PLN
Liczba miejsc
0
Język
polski
Poziom
podstawowy
Prowadzący
lek.dent. Aleksander Makara M.Sc.
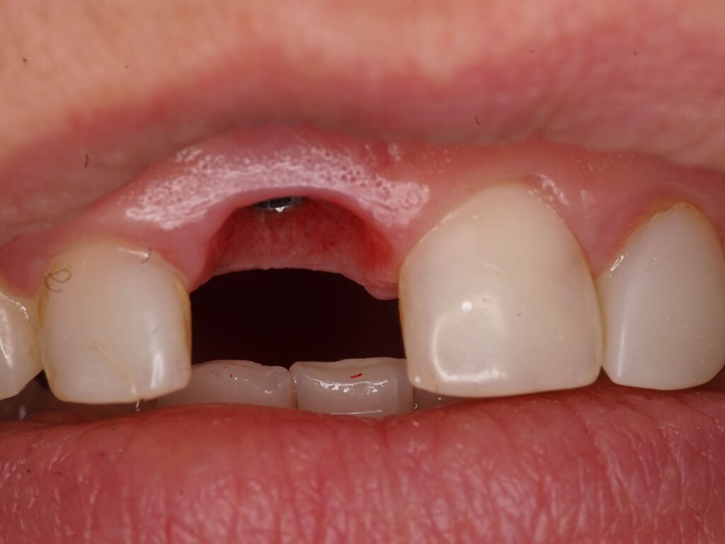
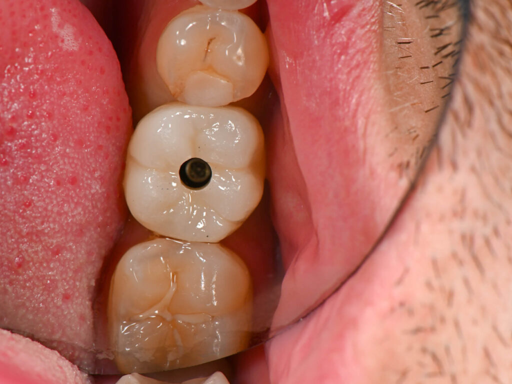
Protetyka na implantach - od odsłonięcia implantu do korony
Czego się nauczysz?
  • jak prawidłowo zaplanować etap protetyczny leczenia implantologicznego,
  • jak dobrać technikę odsłonięcia implantu do warunków klinicznych,
  • jak pracować z tkankami miękkimi wokół implantu,
Jaki umiejętności zdobędziesz?
  • samodzielnie odsłaniać implant różnymi technikami chirurgiczno-protetycznymi,
  • ocenić i kształtować profil wyłaniania,
  • dobrać odpowiednie komponenty protetyczne,
  • pobierać precyzyjne wyciski (analogowe i/lub cyfrowe),
  • zaplanować i oddać koronę na implancie zgodnie z zasadami estetyki i funkcji,
Dla kogo jest to szkolenie
  • lekarzy dentystów rozpoczynających pracę z implantami,
  • lekarzy, którzy implanty wszczepiają, ale chcą pewniej i bardziej przewidywalnie prowadzić etap protetyczny,
  • osób, które chcą zacząć samodzielnie wykonywać korony na implantach w swoim gabinecie.
Dlaczego warto
  • uczysz się na realnych przypadkach klinicznych,
  • łączysz teorię z ćwiczeniami i pracą z pacjentem,
  • otrzymujesz gotowe schematy postępowania do wdrożenia „od poniedziałku”,
  • zyskujesz większą pewność siebie w leczeniu implantoprotetycznym,
  • zwiększasz zakres usług i wartość swojego gabinetu.
Program wydarzenia

Dzień 1 – Teoria i ćwiczenia praktyczne

  • wprowadzenie do protetyki na implantach – zasady biologiczne i biomechaniczne,
  • planowanie etapu protetycznego już na etapie implantu,
  • techniki odsłaniania implantów:
    • technika punch,
    • odsłanianie klasyczne,
    • modyfikacje płata,
    • wpływ techniki na tkanki miękkie i estetykę,
  • dobór i zakładanie śrub gojących,
  • kształtowanie profilu wyłaniania,
  • ćwiczenia praktyczne na modelach / fantomach,

Dzień 2 – Teoria, praktyka i zabiegi u pacjentów

  • wyciski w implantoprotetyce – techniki, wskazania i pułapki,
  • skanowanie wewnątrzustne w implantoprotetyce
  • współpraca z laboratorium – komunikacja i recepta protetyczna,
  • rodzaje koron na implantach (cementowane vs przykręcane),
  • przymiarki, oddanie pracy i kontrola zwarcia,
  • higiena i instruktaż pacjenta,
  • część kliniczna – zabiegi u pacjentów:
    • odsłanianie implantów,
    • założenie śrub gojących,
    • procedury protetyczne,
Prowadzący szkolenie
lek.dent. Aleksander Makara M.Sc.

To doświadczony lekarz dentysta, specjalizujący się w dziedzinie chirurgii stomatologicznej, implantologii oraz stomatologii estetycznej.
Przez ponad dekadę  prowadził własną klinikę stomatologiczną, w której łączył nowoczesne technologie z najwyższymi standardami leczenia. Od kilku lat z pasją rozwija swoje kompetencje w zakresie laseroterapii stomatologicznej, wykorzystując lasery w stomatologii do precyzyjnego, bezpiecznego i komfortowego leczenia pacjentów.
Jest absolwentem prestiżowych studiów European Master Degree in Oral Laser Application (EMDOLA) na Uniwersytecie Medycznym we Wrocławiu, gdzie uzyskał tytuł Master of Science w zastosowaniu laserów w stomatologi